We’re a very experienced Invisalign provider in the Swaffham and Norfolk area!
John Holmes Dental Surgery offers Invisalign, invisible teeth straightening system/treatment to our patients; to all registered and non-registered across Swaffham, Dereham, Kings Lynn, Norwich and Norfolk!
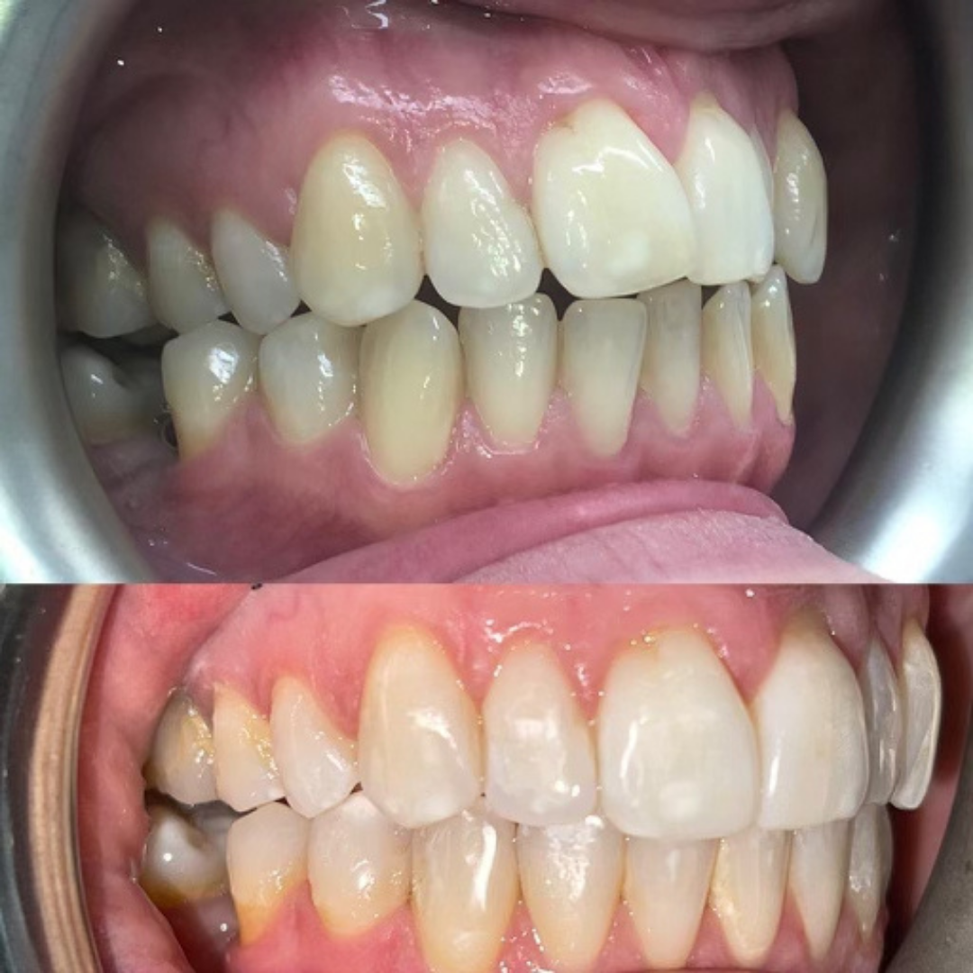
Clear aligners, such as Invisalign, is an adult teeth straightening system that we love because it’s proof that it’s never too late to get the smile you want! Subject to the clinician’s recommendation, clear aligners offer a fast and discreet way to straighten your teeth.
If you want to join our next exclusive Invisalign Open Day and save £914 on discounts, including FREE Teeth Whitening, then click here to learn more. So, if you think you missed your chance having braces as a teenager – and train tracks are out of the question as an adult – then pop into John Holmes Dental Surgery for a consultation, and find out if clear aligners are the answer you’ve been waiting for…
Invisalign (invisible teeth straightening) is used to treat a wide variety of dental problems, such as:
- Crowding – teeth too close together
- Spacing – gaps between the teeth
- Overbite – teeth overlap too much
- Overjet – front teeth stick out
- Underbite – lower teeth stick out
- Crossbite – teeth bite on the wrong side of each other
- Openbite – teeth do not meet when biting
- Misplaced midline – centre lines of upper and lower teeth don’t align
A consultation appointment with one of our specialists is your first step. They will spend time assessing you and whether you are suitable for this type of treatment. In some cases, conventional orthodontic treatment is a better option and you will be advised of this.
If you decide to have the treatment, an initial appointment will be made to take impressions and notes to plan your treatment. Photos will also be taken. Once your aligners have arrived, you will need another appointment, usually an hour, to have it fitted.
You will then come back every 4-6 weeks for the next 3-6 months to receive a new set of aligners each month, as your teeth begin to move. This varies from one patient to another. It is important to maintain excellent oral hygiene during your Invisalign treatment and our staff will advise you about this.
Once your treatment has been completed and the brace has been removed, the specialist will give you the options on which retainers (fixed or removable) you’d like to have.
Clear aligner systems like Invisalign offer a discreet, convenient, and high-tech way of straightening teeth fast. Custom-made to fit precisely over the top of your teeth, they’re barely visible when worn, and removable for when you want to eat, clean them or attend a particularly special occasion.
Plus they work fast – think weeks not years – so you can look forward to a straight smile and renewed confidence in no time at all!
Book your appointment with one of our Invisalign specialists, by calling John Holmes Dental Surgery on 01760 721335.
Invisalign
Leaflet
3.1MB PDF
Invisalign
Brochure
6.3MB PDF
Interested in Invisalign in Swffham, Dereham & Kings Lynn?
For more information on Invisalign or any other of our cosmetic dental treatments, get in touch.
